-

Vaskulitis bei Lichen sclerosus et atrophicus der Vorhaut:
(links) Übersicht (H&E)
(rechts) Detail (H&E) -

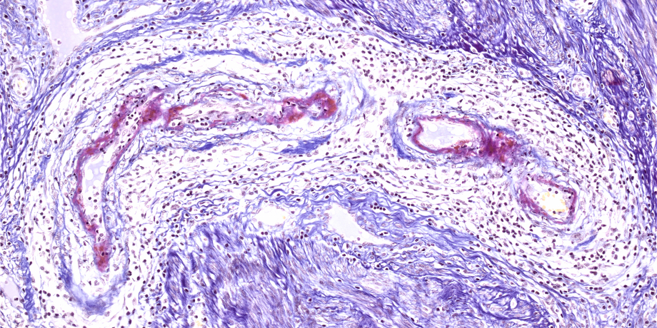
(links) Kleingefäßvaskulitis der Haut mit Mikrothromben (H&E)
(rechts) Kleingefäßvaskulitis der Haut, Mikrothromben rot dargestellt (SFOG, Saures Fuchsin Orange-G Färbung) -

ANCA-assoziierte Vaskulitis mit ischämischer Ileitis:
(links) Übersicht Dünndarm (H&E)
(rechts) Detail mit nekrotisierender Arteriitis (Elastika-van-Gieson-Färbung) -

Einzelorganvaskulitis des Ovars vom Typ einer Polyarteriitis nodosa
(SFOG, Saures Fuchsin Orange-G Färbung) -

Thrombophlebitis subkutan:
(links) Übersicht (Elastika-van-Gieson-Färbung)
(rechts) Detail (Elastika-van-Gieson-Färbung) -

Granulomatose mit Polyangiitis in der Nasenschleimhaut:
(links) Granulom mit Nekrose (H&E)
(rechts) Granulom mit Makrophagen und Riesenzellen braun markiert (Immunhistochemie für CD 68)
Konsultations- und Referenzzentrum für Vaskulitis-Diagnostik
Informationen über das Konsultations- und Referenzzentrum für Vaskulitis-Diagnostik als Referenzzentrum für das nationale Vaskulitisregister GeVas (German Vasculitis Registry) und Konsultationszentrum für Fragen der histologischen Vaskulitis-Diagnostik finden Sie auf der Homepage des Medizinischen Labor Nord. Hier stellen wir Ihnen auch Begleitscheine und Weiteres zur Verfügung.